ホーム 年齢別メニュー ガミースマイル SNS 無料LINE相談 Web予約

3人に2人が不正咬合の時代だから、
矯正も予防する賢い選択

予防医療エンタメにする! 楽しく健口になるスクール型はいしゃさん

Well bee club ウェル ビー クラブ
Teeth 虫歯ゼロ
Mouth 口腔機能
Health 健康習慣

Well-bee club 動画集

Well-bee club テーマソング
Well-bee club
テーマソング
作詞・作曲 Vecci
初めてのはいしゃさん
初めての
はいしゃさん(アニメ)
アニメ制作 Vecci
小児予防医療のエンタメ化構想
小児予防医療の
エンタメ化構想
Well-bee club
の実際
3人に2人が「悪い歯ならび」 驚くハチキャラクター
叢生 約44%、空隙 約12%
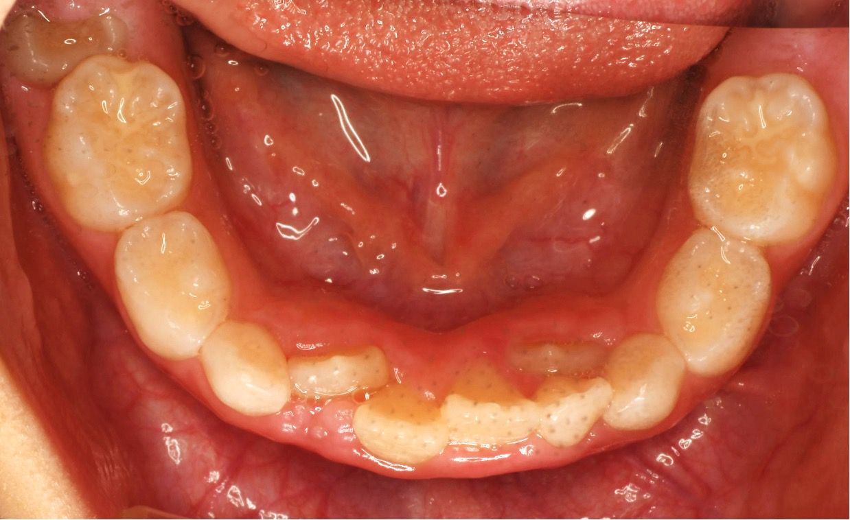
治療前の歯並び

6歳の時、顎が小さく、永久歯が内側に重なって生えている。

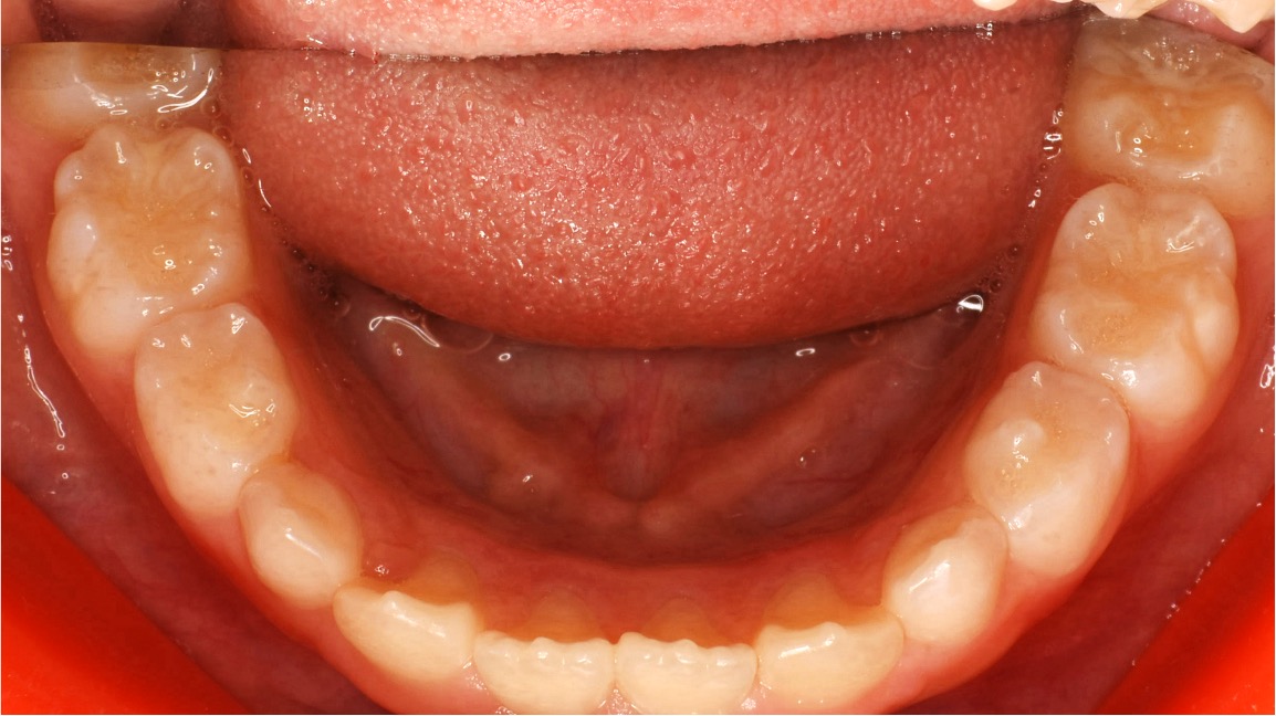
治療後の歯並び

口腔機能訓練をした2年後の8歳。正しい顎の成長。

どんどん顎が小さくガミースマイルに 驚くハチ
小児の歯列弓の変化:第1世代〜第4世代
悪い歯ならびの原因 驚くハチ
悪い歯ならびの原因の円グラフと症例写真
顔が変わる!(頭蓋顔面発育障害)
鼻呼吸を続けた場合
鼻呼吸を続けた場合の前方成長イラスト
口呼吸を続けた場合
口呼吸を続けた場合の下方成長イラスト
✓ 理想パターン 前方成長(鼻呼吸)
前方成長(鼻呼吸)の女の子の横顔

特徴的な変化

  • 顔面が前方に成長し、バランスの良い横顔に
  • しっかりとした下顎と明瞭な顎のライン
  • 歯列弓が広がり、歯並びが整う
  • 広い気道で呼吸がスムーズ
  • 自然な口唇閉鎖・正しい舌位
⚠ リスクパターン 下方成長(口呼吸)
下方成長(口呼吸)の女の子の横顔

特徴的な変化

  • 顔面が縦方向に長く成長
  • 下顎が後退し、あごが小さくなる
  • 歯並びが乱れやすい
  • 気道が狭くなり、睡眠時無呼吸のリスク
  • 口唇閉鎖不全(お口ポカン)
10歳までが顎を拡げるゴールデンタイム
スキャモンの発育曲線(上顎骨・下顎骨の成長)
顎の劣成長(口呼吸など)と正常発育(鼻呼吸・正しい姿勢)の横顔比較

Well-bee club について

6〜12歳のお子さまの健やかな成長を歯科の視点から支える予防・育成プログラムです。

  • 永久歯の虫歯ゼロ
  • 良い歯ならびと顔立ち
  • 健康習慣
従来の歯科検診とWell bee clubの比較表
Well bee club の入学から卒業まで
1ヶ月に1回のクラスの流れ
6ヶ月に1回の検診

矯正治療と Well-bee club の違い

矯正治療 Well-bee club
目的 歯並びを物理的に整える 原因にアプローチし自然な発育を促す
開始時期 永久歯が生え揃ってから 乳幼児期から可能
アプローチ 装置による歯の移動 口腔機能トレーニング+生活習慣改善
メリット 確実に歯並びが改善 口呼吸・姿勢・噛み方なども改善
デメリット 費用が高額・痛みを伴う場合あり 継続的な通院と家庭での習慣づけが必要

※ Well-bee clubは矯正治療を否定するものではありません。必要に応じて矯正との併用も可能です。

自分を大切にする」という
一生の習慣を、未来の自分へ贈る、
最高のプレゼント。

Well-bee clubは、お子さまの健やかな成長を
歯科の視点から支えるパートナーです。

Well-bee club キャラクター

まずはお気軽にご相談ください

無料相談・見学も受付中です